Dorthe Madsen troede, hun ville gå fra køreprøven med et bevis til at føre motorcykel. Men det endte i stedet noget mere fatalt, end hun havde forestillet sig.

9. november træder Dorthe Madsen ind på køreteknisk anlæg i Nyborg, hvor hendes motorcykelkøreprøve skal foregå.

En anden elev fra samme hold som Dorthe Madsen har været oppe til prøven inden hende og fortæller, at den motorsagkyndige »presser på farten«, hvorefter han råder Dorthe Madsen til ikke at køre langsommere, end prøven foreskriver, for så vil hun dumpe.

Da køreprøven starter, går den første øvelse fint, fortæller Dorthe Madsen, som først stod frem i Fyens Stiftstidende. Men da de skal videre til næste øvelse, begynder det at gå skævt.

Her beder den motorsagkyndige Dorthe Madsen om at køre hurtigere. Da hun indvender, at hun ikke synes, det er en god idé, fordi den flisebelagte bane har både alger og mos, siger han til hende, at hun slet ikke skal bekymre sig om banens tilstand, da han har vurderet, at den ikke er glat.

Dorthe Madsens udstyr bærer præg af styrtet.
Dorthe Madsens udstyr bærer præg af styrtet. Privat.

Da de skal videre til bremseøvelsen, bliver Dorthe Madsen endnu en gang presset.

»Han siger til mig: 'Du virker bange for motorcyklen. Til den her øvelse vil jeg se dig køre med mindst 55 kilometer i timen',« fortæller Dorthe Madsen til B.T.

Bremseøvelsen foreskriver, at eleverne kører 50 kilometer i timen, men den motorsagkyndige insisterer på, at hun ikke kører langsommere end 55 kilometer i timen, hvis hun vil bestå.

Da Dorthe Madsen med den høje fart på motorcyklen laver sin opbremsning, styrter hun og glider sammen med køretøjet 20 meter hen ad fliserne.

Hun husker ikke meget fra selve ulykken, men da hun sidder på fliserne og tager sin hjelm af, hører hun den motorsagkyndige sige til en anden på banen:

»Hun kørte jo også uforsvarligt.«

Dorthe Madsen bliver hentet af en ambulance.

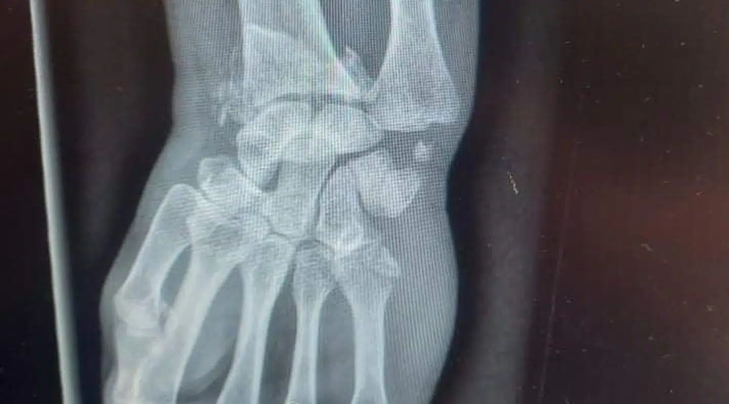
Dorthe Madsen brækkede sit håndled tre steder.
Dorthe Madsen brækkede sit håndled tre steder. Privat.

På sygehuset bliver det konstateret, at hun har brækket sit håndled tre steder og fået ødelagt en sene i hånden. Dagen efter ulykken bliver hun opereret, og nu går hun sygemeldt derhjemme – med god tid til at tænke hele forløbet igennem.

»Jeg er vred og frustreret, og jeg synes, det er pinligt, at jeg i en alder af 43 år ikke kunne sige fra, for jeg kunne bare have sagt, at så hurtigt kommer jeg ikke til at køre,« siger Dorthe Madsen og fortsætter:

»Så var jeg ikke gået derfra med armen i gips og hele højre side slået blå.«

Hun og den anden kursist er ikke ene om deres oplevelser med at blive presset af den motorsagkyndige til at køre hurtigt. Både Dorthe Madsen og Fyens Stiftstidende har efterfølgende været i kontakt med flere kørelærere, som har kunnet bekræfte lignende episoder med den samme motorsagkyndige.

Fyens Stiftstidende har derudover været i kontakt med Færdselsstyrelsen, der, på baggrund af den motorsagkyndiges egen udlægning af forløbet, har vurderet, at den motorsagkyndige har overholdt de gældende regler for, hvor en køreprøve skal afvikles, ligesom de opfordrer elever til at henvende sig, hvis de har haft en dårlig oplevelse.

Dorthe Madsen har klaget over hændelsen til Færdselsstyrelsen og venter på, at sagen bliver taget op.