Lea Tilde Rosenlund er blevet blind på det ene øje, efter hun sidste år blev ramt af en alvorlig øjeninfektion, der typisk rammer kontaktlinsebrugere.
»På et tidspunkt lå jeg og tænkte, at hvis jeg gnavede mig selv hårdt nok i armen og ramte knoglen, kunne det være, at det kunne aflaste min smerte i øjet,« siger hun.
Hun tager imod B.T.'s udsendte i sit hus i Brønshøj. Hun er iklædt solbriller, selvom sommeren for længst er forbi. Solbrillerne forhindrer det blinde øje i at løbe i vand og skygger samtidig for et øje, der måske kan forskrække sarte sjæle.
Den 39-årige kvinde fik konktaktlinser, da hun var 15 år, og havde frem til sidste år i efterårsferien brugt dem uden problemer. Under en biograftur med sin mand og to børn på nu otte og 11 år syntes hun, at det kradsede i øjet. Hun var overbevist om, at der var tale om en øjenbetændelse.

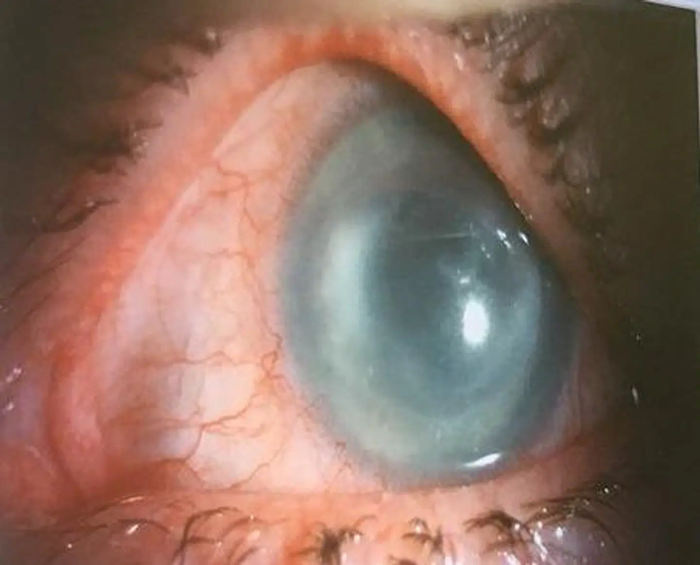
Det skulle dog vise sig at være langt mere alvorligt, og efter gentagne besøg hos forskellige øjenlæger kunne specialister på Glostrup Hospitals øjenafdeling konstatere, at der var tale om en sjælden øjeninfektion, såkaldt acanthamoeba-keratitis.
Infektionen opstår i øjets hornhinde, fordi en aggressiv amøbe kaldet acantamoeba gnaver sig ind i øjeæblet. Smitten opstår typisk via små sår på hornhinden, hvis kontaktlinser bliver eksponerede for forurenet vand, eller der ikke er god nok hygiejne i forbindelse med rengøring af kontaktlinser. Den rammer ca. en ud af en million kontaktlinsebrugere.
Lea Tilde Rosenlund har altid været meget omhyggelig med sine linser og sørget for god hygiejne. Hun ved derfor ikke, hvorfor hun har fået amøben, men mistænker, at hun har haft linser på i brusebad eller sat linser i med nyvaskede fugtige fingre.
Kontaktlinser må på ingen måde komme i kontakt med postevand, men det er først nu, at Lea Tilde Rosenlund er blevet klar over, hvor bogstaveligt dette skal tages.

Infektionen blev hurtigt forværret, og smerterne i øjet tog til. Smertestillende piller virkede knap nok, og den ellers aktive kvinde, der til hverdag arbejder som lektor på en professionshøjskole, måtte sygemelde sig.
Hun kunne ikke andet end at ligge i familiens soveværelse med nedrullede mørklægningsgardiner. Appetitten blev erstattet af kvalme, og kun lidt saftevand og nogle bestemte lakridser kunne hun få ned.
»Jeg havde så vanvittig ondt. Jeg lå og tænkte, at jeg ville dø af det her,« siger Lea Tilde Rosenlund, der på et tidspunkt dryppede sine øjne op til 69 gange i døgnet for at holde amøben i skak.
»Det er næsten som tortur. Det føles, som om man putter mørtel i øjet, og at man blinker grus,« siger hun.

Da hun og hendes mand begyndte at læse på nettet om infektionen, gik det for alvor op for familien, hvilken skæbne der havde ramt dem.
»Det er de mest vanvittige historier, der dukker op, når man googler. Man kan læse om amøber, der gnaver sig ind i hjernen og forårsager hjernebetændelse, som man kan dø af,« siger hun.
Familien kunne dog berolige sig selv med, at det kun er i meget sjældne tilfælde, at den slags sker. Men det er ikke usædvanligt, at amøben kan give ekstremt intense smerter og nedsat syn – præcis som Lea Tilde Rosenlund oplevede det.
Samtidig måtte hun forberede sig på, at der kan gå op til et år, før man er helbredt for infektionen, der altså også kan forårsage blindhed. Både Lea og lægerne var dog overbeviste om, at det ikke ville komme så langt, selvom behandlingen, der udelukkende består af aggressive øjendråber, ofte trækker ud pga. amøbens resistens.

Det skulle dog vise sig, at infektionen havde godt fat i den 39-årige kvinde. I december 2017 blev hun indlagt på hospitalet og fra at tage svagt smertestillende medicin gik hun over til morfinpræparat.
Hun nåede at komme tilbage på sit arbejde, men flere gange kom de voldsomme smerter tilbage, og hun måtte sygemeldes på ny. Hun kunne knap se på det ene øje og havde det, som om hun kiggede igennem et fedtet glas.
»Jeg har ikke været tilbageskuende på noget tidspunkt og spurgt mig selv, hvorfor det lige var mig, det skulle ramme. For mig har det hele tiden handlet om at nå til i morgen. Når mine børn har set mig have det rigtig dårligt, har jeg kunnet sige, at jeg ikke kommer til at dø af sygdommen, og det har nok gjort, at det var lettere at komme igennem,« siger Lea Tilde Rosenlund.
Hendes mand har gennem hele forløbet været meget støttende. For fortsat at kunne følge med i familielivet har han sendt hende 'oceaner af billeder', når hun har ligget i soveværelset alene.

»På den måde har jeg kunnet være lidt med og nyde deres oplevelser og vidst, at de har tænkt på mig,« siger Lea Tilde Rosenlund.
I august i år blev hendes hornhinde akut transplanteret. Lægerne var bange for, at amøben var begyndt at grave sig endnu længere ind og få adgang til hjernehinden. Chancen for, at øjet efterfølgende ville være amøbefri, var 40 pct., mens risikoen for, at øjet ville afstøde hornhinden, var 90 pct.
»Med så dårlige odds var situationen virkelig 'tough',« siger hun.
På grund af komplikationer efter transplantationen kan Lea Tilde Rosenlund nu ikke længere se på sit angrebne øje. Hun er blevet blind og vil formentlig aldrig komme til at se på det igen. Hun har stadig smerter i øjet, som måske skyldes, at amøben kan have ødelagt nogle nerver.

Foreløbig tror lægerne dog på, at hun har et amøbefrit øje og dermed kan se en fremtid i møde, hvor hun igen kan få et nogenlunde arbejdsliv og en familie, hun kan være sammen med med færre smerter og flere gode dage.
Lea Tilde Rosenlund prøver at se optimistisk på fremtiden. Men hun håber samtidig, at hendes egen historie kan hjælpe andre til at passe godt på deres øjne, hvis de bruger kontaktlinser:
»Man får altid at vide, at man ikke må sove med sine linser, men jeg tror desværre, det er de færreste, der ved, at de f.eks. ikke må svømme eller gå i brusebad med dem. Der burde på samme måde som ved tobak og alkohol være advarsler på pakkerne,« siger hun.





