Vandperler kan bruges til meget forskelligt. Pynt, leg eller endda som kunstig blomsterjord.
Et sted, de til gengæld bestemt ikke hører til, er nede i maven. Men alligevel var det lige præcis dér, de havnede, hos en 19-årig dreng. Det skriver norske Dagbladet.
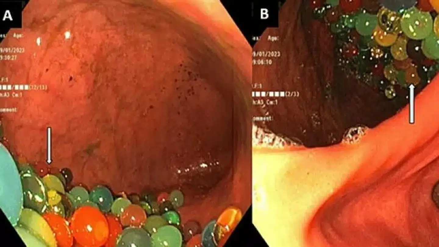
Drengen slugte hundredvis af de små perler, og en vigtig detalje ved perlerne er, at de ikke forbliver små, men mangedobler deres størrelse, når de først kommer i kontakt med vand.
En halv time senere fik drengen derfor voldsomme mavesmerter med både kvalme og opkast og måtte med lynets hast afsted til akutmodtagelsen.
Lægerne, der tog imod den 19-årige, beskriver det sjældne tilfælde i et casestudie, der blev offentliggjort i tidsskiftet Cureus tilbage i 2024. Her hævdes det, at drengen slugte perlerne ved et uheld.
I casestudiet beskriver lægerne, hvordan vandperler udgør en helt speciel udfordring, netop fordi perlerne kan absorbere vand og vokse i maven og tarmen, som kan føre til både forstoppelse, tarmblokering, hul i tarmvæggen og betændelse i bughinden.

I CT-scanningen af drengen viste der sig »utallige små, runde perler i hele mave-tarmregionen«, og her fik lægerne fjernet mellem 50 og 70 af perlerne gennem en såkaldt gastroskopi.
De resterende perler passerede gennem systemet på naturlig vis.
Men lægerne sætter samtidig en tyk streg under, at de små, uskyldige perler hurtigt kan udvikle sig til en meget alvorlig situation:
»Perlerne kan udgøre en betydelig risiko, hvis de sluges, da de kan vokse op til 200 gange deres oprindelige størrelse. Dette betyder, at de potentielt kan forårsage livstruende tarmblokering, især hos børn.«
