En 2-årig dreng fra Nevada er afgået ved døden, efter han i denne uge blev inficeret af en alvorlig, hjerneædende amøbe.
Det skriver CNN.
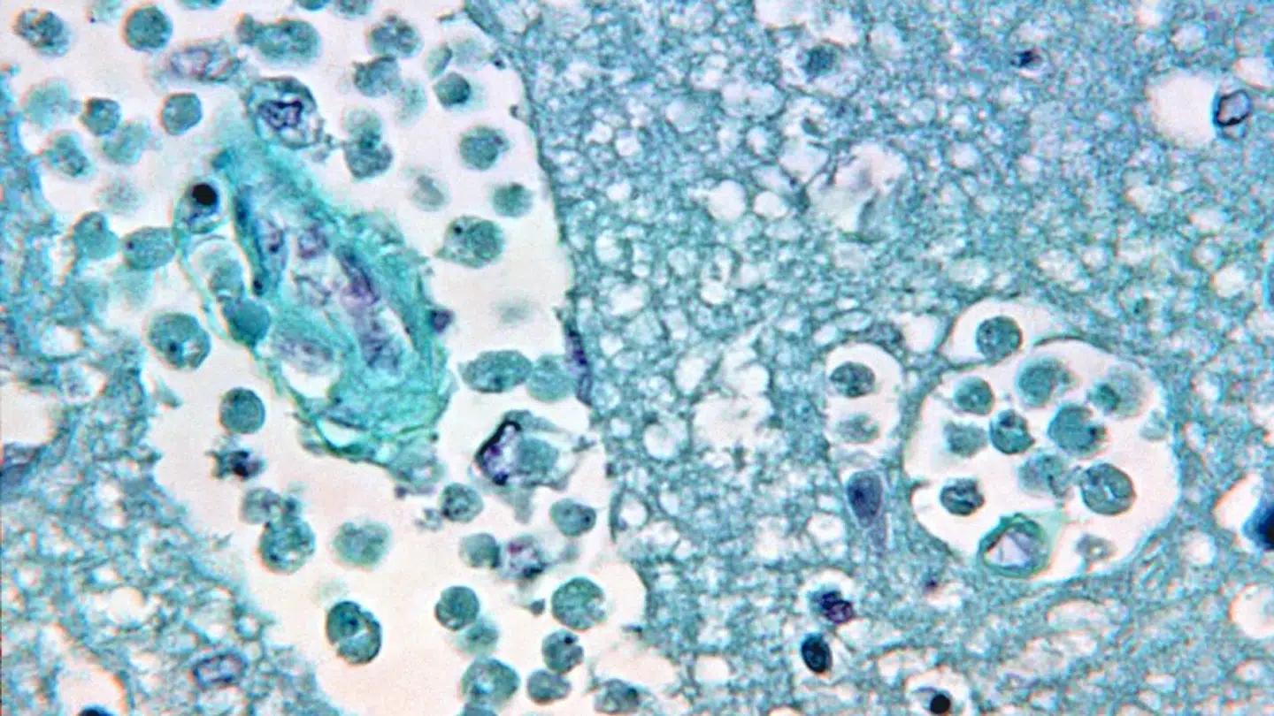
DPBH (Nevada Division of Public and Behavioral Health, red.) har bekræftet, at årsagen bag den lille drengs tragiske død er den hjerneædende amøbe 'Naegleria fowleri'.
»Denne amøbe kan forårsage en alvorlig, sjælden hjerneinfektion, som ødelægger hjernevævet og næsten altid har en dødelig udgang,« skriver DPHB i en udtalelse.
Det er med stor sandsynlighed ved den naturlige varmekilde Ash Springs ved Lincoln County, at amøben har angrebet den 2-årige dreng under en svømmetur.
Naeglera fowleri er en mikroskopisk, encellet og levende amøbe, der både er sjælden og harmløs - medmindre den når op til hjernen.
Når amøben at finde frem til hjernen, vil man opleve symptomer som feber, kvalme og opkast, ligesom man vil blive stiv i nakken og få hovedpine. De fleste vil afgå ved døden indenfor en uge.
I USA er der op mod otte personer hvert år, der dør af den frygtede amøbe.
