Cirkusartisten Tetiana Korenieva brækkede nakken fire steder, da hun styrtede ned foran publikum i et fyldt cirkustelt i Nordsjælland.
For nyligt gennemgik den 24-årige ukrainske artist endnu en operation, der skal sikre hende førligheden efter det voldsomme fald.
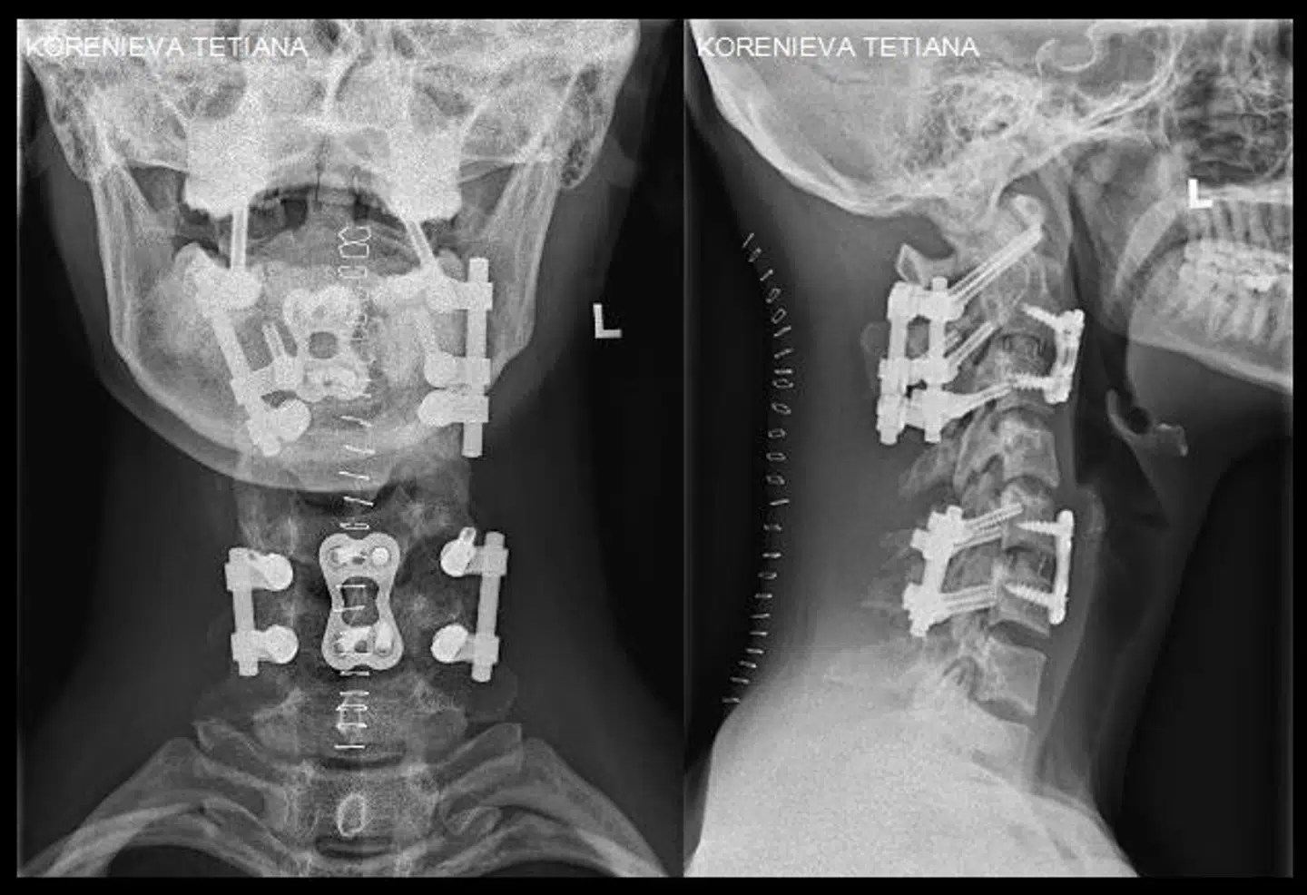
Læger på et sygehus i Hamburg har indopereret 18 skruer, fire metalstænger og to metalplader i nakken på Tetiana Korenieva.
Det fortæller hendes tyske kæreste Sebastian Hofmann i en mail til B.T.

»Næsten alle knogler i hendes nakke har fået kirurgisk behandling,« skriver han.
Den ukrainske artist styrtede ned med hovedet først, da et kabel knækkede under en forestilling for Cirkus Arena i Hornbæk 1. august.
Hun blev fløjet med helikopter til Rigshospitalet, hvor hun gennemgik en omfattende operation.
Kort tid efter ulykken oplyste turnéchefen i Cirkus Arena, Klaus Jochumsen, at Tetiana Korenieva slap fra sit fald med en brækket arm.
Men da B.T. mødte hende i august, viste det sig, at ulykken var langt værre end først antaget. Hendes hoved var fastspændt til kroppen i en halskrave, og hun var kun i stand til at indtage føde gennem et sugerør.

Takket være operationen kunne hun for nyligt tage nakkekraven af for første gang, efter at have haft den på i 100 dage.
Men operationen har også negative følger. På grund af alle metal-delene er Tetiana ikke længere i stand til at bevæge hovedet.
»Hendes hoved er nu for evigt blokkeret af implantater,« skriver Sebastian Hofmann.
Derudover lider hun også under andre følgevirkninger af det voldsomme fald.

Hun har følelsesforstyrrelser og er delvist lammet i venstre side. Hun har massive smerter og må tage stærkt smertestillende medicin.
Men midt i det hårde forløb glæder parret sig over, at mange har valgt at donere penge til cirkusartistens genoptræning via en GoFundMe-kampagne.
»Kun på grund af de mange donationer kan Tetiana nu se positivt ind i fremtiden og foretage sin genoptræning,« skriver Sebastian Hofmann.
Tetiana Korenieva var ikke forsikret, og lønnen fra Cirkus Arena stoppede den dag, hun faldt og brækkede nakken.

