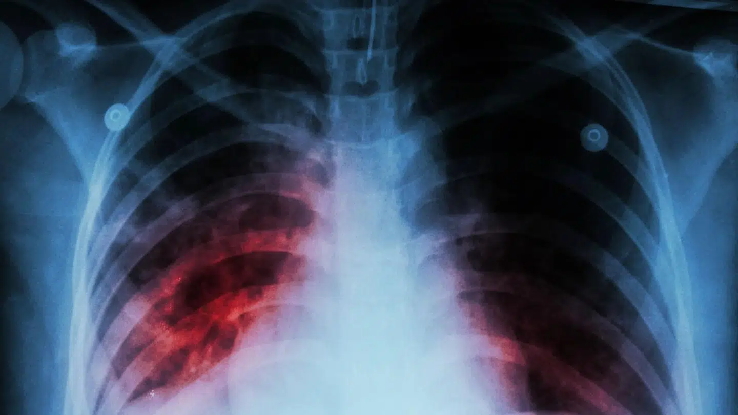
Eksperter slår alarm: Fire nye tuberkulosetilfælde i år


Statens Serum Institut melder om fire nye tilfælde af multi-resistent tuberkulose i Danmark alene i år. Det er, hvad vi normalt ser på to år, siger eksperterne.
De seneste mange år har der årligt været cirka to tilfælde af den frygtede lungesygdom herhjemme. Nu bemærker eksperterne fra Statens Serum Institut imidlertid, at der i løbet af årets fem første måneder allerede har været fire tilfælde.
Det skriver Statens Serum Institut.
Udviklingen bekymrer forskerne. Det er nemlig ikke bare en alvorlig sygdom, som er dyr og besværlig at behandle. Sygdommen er også forbundet med mange komplikationer og bivirkninger for den enkelte patient.
Sygdommen multi-resistent tuberkulose er en af de største trusler på verdensplan. I Danmark bliver langt de fleste helbredt, men i resten af verden kan man kun helbrede omkring halvdelen af de cirka 500.000 multi-resistente patienter.
Der går cirka halvandet år fra en person får stillet diagnosen, til patienten er rask, og hver behandling koster cirka en million kroner.