Det er ulovligt og voldsomt, men det vælger folk i hele landet at se stort på.
Kattedrab er nemlig et stort problem i Danmark, skriver Dyrenes Beskyttelse i en pressemedelelse.
Det seneste år har foreningen modtaget 10 sager på katte, der er blevet skudt.
»Det er slet ikke i orden. Anskydning af katte er groft uforsvarlig og har karakter af mishandling, hvilket medfører stor lidelse og stress hos katten, som potentielt kan dø af sine kvæstelser,« siger Yvonne Johansen, dyreværnschef hos Dyrenes Beskyttelse.
Senest er to katte blevet skudt i Vejle. Den ene, 'Missepigen', fik splintret et ben og måtte aflives.
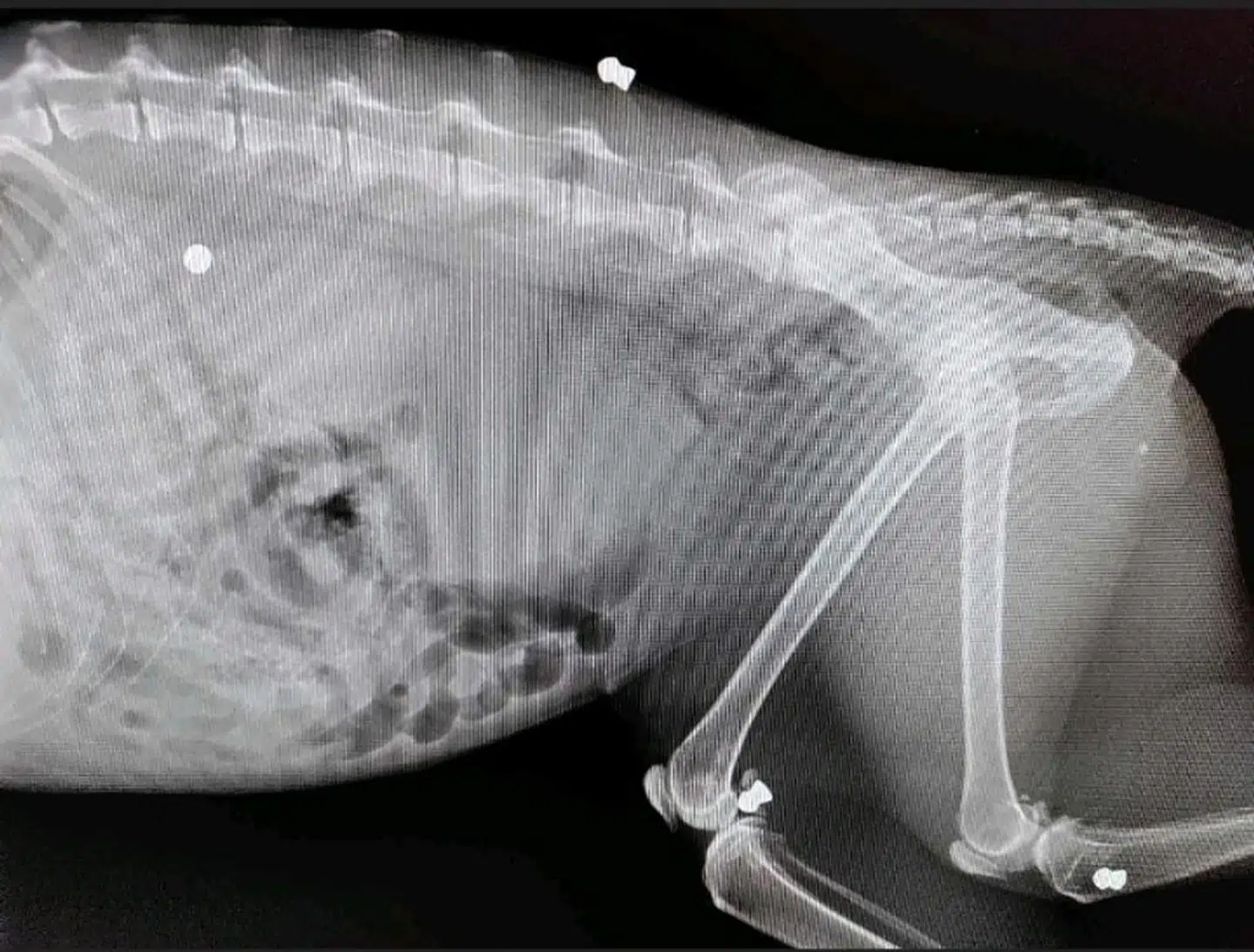
Den anden, 'Bluey', blev skudt i maven og ankom 'stærkt blødende og med store smerter' til en dyreklinik.
Det har siden 2014 været ulovligt at skyde katte, medmindre man er jæger og gør det under særlige omstændigheder.
Dyrenes Beskyttelse kalder det voldsomme fænomen for et stigende problem og kalder på handling.
»Det bør være kommunens ansvar at tage sig af de stigende problemer med ejerløse katte. Kattene kan være til stor gene for borgerne, og problemerne forsvinder ikke, blot fordi de ignoreres«.
»Ejerløse katte skal ikke bekæmpes eller ses som skadedyr. Det handler om at hjælpe dem til bedre forhold. Sterilisation og kastration af ejerkatte er også enormt vigtigt i den sammenhæng,« siger Yvonne Johansen.

